Algoritmo basado en Inteligencia Artificial predice el cáncer de mama
El algoritmo desarrollado por el MIT fue 31% más efectivo que los métodos tradicionales.
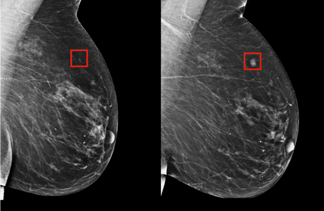
El equipo del laboratorio de Inteligencia Artificial del MIT y el Hospital de Massachusetts han creado un nuevo modelo de aprendizaje automático que puede predecir el riesgo probable de un paciente para desarrollar cáncer de mama, a partir de una mamografía.
El algoritmo ha sido entrenado con la información de más de 90 mil mamografías, lo que le permitió aprender los patrones del tejido mamario que son los principales precursores de tumores malignos.
Este sistema podría permitir a los médicos personalizar los programas de detección y prevención de los pacientes, evitando así un diagnóstico tardío.
La Sociedad Americana del Cáncer recomienda realizar mamografías anuales de detección a partir de los 45 años de edad en adelante. Sin embargo, existen otras opiniones, las cuales pueden confundir a los pacientes.
Por lo tanto, la Inteligencia Artificial podría permitir la detección personalizada sin importar una edad específica y adecuando la periodicidad de la mamografía conforme al sistema individual de cada mujer.
La profesora del MIT, Regina Barzilay, quien es sobreviviente de cáncer de mama, explica que “un médico podría recomendar a un grupo de mujeres que se realice una mamografía cada dos años, mientras que otro grupo de mayor riesgo podría realizarse una prueba complementaria”.

El modelo tuvo una precisión de 31 por ciento en todos los pacientes con cáncer de alto riesgo, mientras que los tradicionales obtuvieron una precisión de apenas 18 por ciento.
Barzilay dice que su sistema también podría permitir que los médicos usen mamografías para ver si los pacientes tienen un mayor riesgo en otros problemas de salud, como enfermedades cardiovasculares u otros tipos de cáncer.